The Sclerograft™ Procedure
Understanding Bone Cysts and a new Minimally Invasive Treatment Option
What is a Bone Cyst
Overview for Parents
A bone cyst is a pocket of fluid inside the bone.
Most are benign (not cancerous).
Bone cysts are most commonly seen in children, especially in the arm and leg bones
They can make bones weak and can cause a fracture
Some cysts can heal spontaneously once a child reaches skeletal maturity and some can heal completely after a fracture
Two Main Types:
Unicameral (Simple) Bone Cysts (UBC):
The more common type of bone cyst which is made up of a single cyst
Aneurysmal Bone Cysts (ABC):
Made up of multiple small cysts and can be more locally aggressive than UBCs. They are associated with higher recurrence rates than UBCs
Symptoms and Diagnosis
Common Symptoms
Mild, dull ache or swelling
Limited movement
A fracture that seems “too easy”
Found incidentally on an X-ray
Diagnosis Tools:
X-rays: show a hollow area in the bone with thinning of the bone wall
MRI: Helps characterize the bone cyst and differentiate between a UBC and an ABC
Biopsy: sometimes a biopsy is done to ensure that the lesion is a standard bone cyst and not something more concerning
Traditional Treatment Options
Observation:
Small, stable cysts that are not symptomatic may just be watched with X-rays — no immediate procedure needed.
If a cyst is symptomatic or getting larger and there there is concern for fracture, a procedure may be recommended.
Minimally Invasive Injections:
A doctor places a thin needle into the cyst to drain the fluid and may inject steroids
This is an outpatient procedure which is performed under general anesthesia and often requires serial injections. Adequate healing can take 6-12 months.
Open Surgery (Curettage):
In this surgical procedure which is done with general anesthesia, the cyst is aspirated and the wall line is scraped out of the bone.
The doctor may fill the hole with bone graft or cement.
Recovery usually takes a few months.
Sclerograft™ Procedure
Overview
The Sclerograft procedure is a minimally invasive outpatient procedure used to treat bone cysts.
Utilizing needles, chemical sclerosis destroys the cyst wall and regenerative bone graft is injected via the needles to expedite bone healing.
How It Works
The procedure is done under general anesthesia
The doctor uses imaging guidance (like X-ray or ultrasound) to guide needles into the cyst.
Chemical sclerosis using chemicals like doxycycline are washed through the cyst to kill the cyst wall lining
Regenerative bone graft is then injected through the needles and the needles are removed. The bone graft is temporary and is eventually reabsorbed by the body.
Benefits
No large incision. Needle incisions are closed with a bandaid
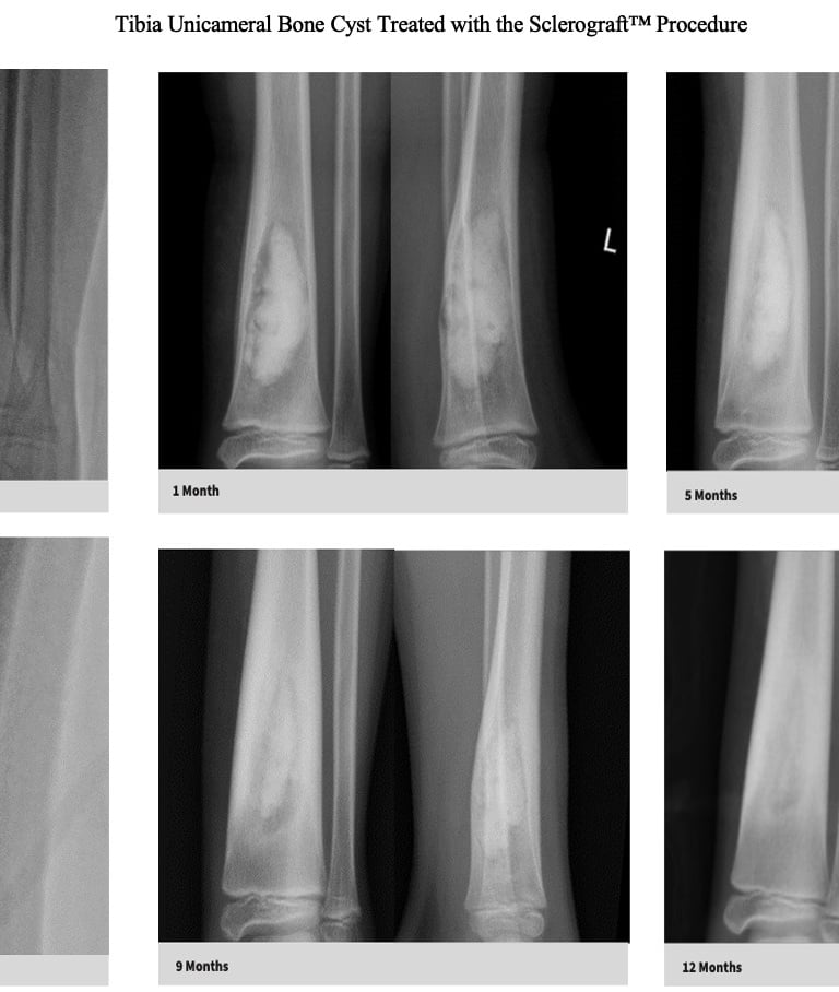
Quick recovery and bone formation seen between 6 weeks to 3 months
Low recurrence rates
Proven success in both UBCs and ABCs

Post-Operative Recovery


Incisions
As a minimally invasive procedure, the incisions are small enough to be closed with a bandaid and do not require stitches. The dressing can be removed in 48 hrs and usually by 3 months, most incision sites are not visible
Pain Control
If a nerve block is successfully performed prior to the procedure, most patients wake up pain free and are discharged home without any narcotics. Tylenol and advil is recommended for the first 48 hours when post-operative swelling is the greatest.
Follow-up
Bone thickening begins to occur after approximately 6 weeks, so if you child is in a sling or uses crutches, that will be continued until the first x-ray is obtained.
Follow-up imaging is usually obtained at 6 weeks, 3 months, 6 months, 12 months and annually for at least 3 years.
The decision to return to normal physical activity is driven by how well the bone has healed based on the follow-up x-rays.
The long term follow-up with x-rays is critical because of the possibility of bone cyst recurrence. Generally, if a recurrence occurs, it tends to be noticeable by the 6 month mark
Gallery




Explore our educational resources and images















